Новости по теме Наука

© Reuters Сингапурские ученые аннулировали все прогнозы о сроках пандемии Ученые из Сингапурского университета технологий и дизайна и Массачусетского технологического института, создавшие сайт, где в режиме реального
14 мая 2020 07:25
© Reuters В организме пациентов с коронавирусом найдены аномальные изменения Сотрудники отделения радиологии Массачусетской общей больницы в Бостоне (США) обнаружили у некоторых зараженных коронавирусом пациентов аномальные
13 мая 2020 21:52
© Reuters В 2020 году ни одна страна не достигнет коллективного иммунитета - ученые В 2020 году ни одной стране не удастся достичь коллективного иммунитета к коронавирусу, а все утверждения о его наличии вызовут катастрофу в
11 мая 2020 06:58
© Reuters Вирусолог рассказал о часто забываемом способе заражения COVID-19 Российский вирусолог и доктор медицинских наук Анатолий Альтштейн рассказал Пятому каналу о способе распространения коронавирусной инфекции,
11 мая 2020 04:39
© Reuters Названа главная причина быстрого распространения COVID-19 Ученые Федерального университета Баии в Бразилии провели исследование и выяснили, что основной причиной быстрого распространения коронавируса
10 мая 2020 20:41
© Reuters Описан странный феномен у больных COVID-19 Американские врачи все чаще наблюдают у пациентов с коронавирусом феномен под названием "счастливая гипоксия". Об этом говорится в статье в
08 мая 2020 04:17
Фото:elements.envato.com Курильщики с коронавирусом в 2,5 раза чаще попадают в реанимацию - Минздрав Курение ставит под угрозу работу легких и увеличивает риск восприимчивости к коронавирусу, заявили в Министерстве здравоохранения Казахстана,
05 мая 2020 18:10
Фото: Турар Казангапов Ученые аннулировали дату окончания пандемии в Казахстане Ученые из Сингапурского университета технологий и дизайна и Массачусетского технологического института, создавшие сайт, где в режиме реального
05 мая 2020 07:18
Иллюстративное фото: elements.envato.com Казахстанцы патентуют 10 изобретений, связанных с коронавирусом В Национальном институте интеллектуальной собственности сообщили, что за последние три месяца казахстанцы подали 10 заявок на патент изобретений,
04 мая 2020 09:47
© Reuters Описан новый симптом коронавируса Главный врач московской инфекционной больницы № 40 ("Коммунарка") Денис Проценко сообщил, что у некоторых пациентов с коронавирусом наблюдается
02 мая 2020 04:44
© Reuters Определена причина специфического поражения легких при COVID-19 Согласно последним исследованиям, коронавирус не вызывает пневмонию, а причиной опасных осложнений является избыток железа в организме пациентов
29 апреля 2020 08:11
© Reuters Ученые Сингапура рассчитали дату окончания пандемии в Казахстане Группа ученых из Сингапурского университета технологий и дизайна и Массачусетского технологического института создала сайт, где в режиме
29 апреля 2020 02:12
Горная гряда Кем-Кем. © ZooKeys Названо самое опасное место в истории Земли Международная команда ученых опубликовала крупнейший обзор ископаемых позвоночных из области меловых скальных образований на юго-востоке Марокко,
28 апреля 2020 20:44
Иллюстративное фото: elements.envato.com Искусственный интеллект хотят использовать в Казахстане для борьбы с COVID-19 После 14-дневных переговоров в США Казахстан получил возможность использовать разработку искусственного интеллекта из Кремниевой долины для
28 апреля 2020 16:08
© elements.envato.com Ученый рассказал, сколько коронавирус живет на кнопках лифтов и дверных ручках Российский ученый, заведующий Лабораторией молекулярных технологий в Институте биоорганической химии РАН Всеволод Белоусов на своей странице
26 апреля 2020 08:26
Академик РАН Александр Чучалин. © RT Путину предложили новый способ лечения COVID-19 Врач-пульмонолог, академик РАН Александр Чучалин предложил новую методику лечения коронавируса. Об этом он рассказал на онлайн-совещании, которое
26 апреля 2020 05:41
© Reuters Ученые назвали единственный способ остановить пандемию По мнению ученых, единственным способом побороть пандемию COVID-19 является вакцинация. Выводы исследователей опубликованы на портале Science
25 апреля 2020 23:47
© Reuters ВОЗ выступила с заявлением по поводу иммунитета у переболевших COVID-19 На сегодняшний день нет никаких доказательств того, что люди, переболевшие коронавирусом и имеющие антитела, приобретают стойкий иммунитет и
25 апреля 2020 21:45
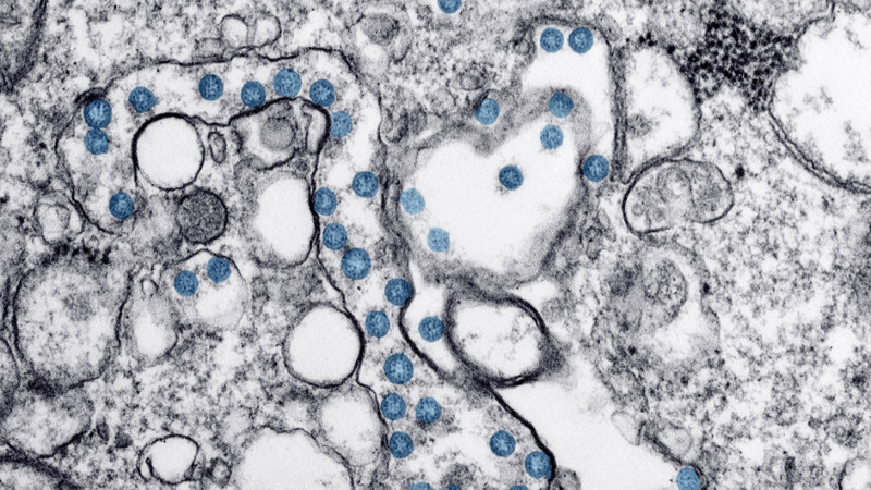
Фото Турара Казангапова Названы основные мишени коронавируса в организме человека Ученые обнаружили специфические клетки, которые становятся мишенями для коронавируса, передает Tengrinews.kz со ссылкой на РИА Новости.  
24 апреля 2020 08:49
© Shutterstock "Выходцы из прикаспийских степей". Генетики выяснили происхождение европейцев Геномный анализ находок, сделанных за последние годы в Центральной Европе, показал, что в конце неолита в Европу пришло много людей из Причерноморско-Прикаспийской
23 апреля 2020 04:40

Курс валют

 464.73   543.38   6.16 

 

Погода

Алматы
А
Алматы +18
Астана +19
Актау +12
Актобе +6
Атырау +10
Б
Балхаш +16
Ж
Жезказган +19
К
Караганда +19
Кокшетау +6
Костанай +24
Кызылорда +18
П
Павлодар +15
Петропавловск +17
С
Семей +19
Т
Талдыкорган +20
Тараз +22
Туркестан +4
У
Уральск +16
Усть-Каменогорск +22
Ш
Шымкент +16

 

Редакция Реклама
Социальные сети