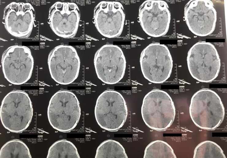
У младенца случился инсульт в Мангистауской области. Ребенка с диагнозом "острое нарушение мозгового кровообращения" (инсульт новорожденных) доставили в Мангистаускую областную многопрофильную детскую больницу 9 января, передает Tengrinews.kz со ссылкой на "Лада".
Как сообщили в больнице, у двухмесячного младенца из-за инсульта зафиксировали отек головного мозга, дислокационный синдром и кому I-II степени. Благодаря усилиям врачей 10 января состояние ребенка удалось стабилизировать. В экстренном порядке ему провели операцию по трепанации черепа, которая продлилась два часа.

Фото: lada.kz/Ербол Кенжевалов
"Такие случаи редко заканчиваются положительным результатом, но нам удалось спасти ребенка. В настоящий момент пациента перевели в отделение травматологии, он находится в среднетяжелом состоянии", - сообщил детский нейрохирург Ербол Кенжевалов.
Напомним, ранее заведующий отделением сосудистой хирургии НМИЦ хирургии имени Вишневского, доктор медицинских наук, профессор Андрей Чупин назвал факторы, резко повышающие риск развития инсульта. По его словам, высокое давление, повышенный уровень холестерина и курение - все эти факторы вместе дают крайне высокий риск развития инсульта, при этом до 50 лет инсульт чаще встречается у мужчин, чем у женщин.
Хочешь получать главные новости на свой телефон? Подпишись на наш Telegram-канал!
Tengrinews.kz также есть в Aitu! Добавляйтесь к нам!