Флюорографию Мэрилин Монро продали за 45 тысяч долларов

ПОДЕЛИТЬСЯ

Флюорографию Мэрилин Монро продали за 45 тысяч долларов

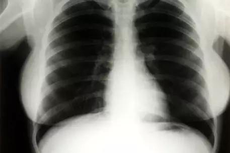
Рентгеновские снимки грудной клетки знаменитой актрисы Мэрилин Монро ушли с молотка за 45 тысяч долларов, сообщает РИА Новости. Лот был представлен на продажу аукционным домом Julien's. Торги прошли с 26 по 27 июня в казино "Планета Голливуд" в Лас-Вегасе. Флюорография была сделана Монро в ноябре 1954 года, когда актриса была госпитализирована в больницу Cedars of Lebanon Hospital во Флориде с диагнозом эндометриоз. Снимки долгое время служили учебным пособием для студентов медицинского университета. Начальная стоимость флюорографии составила более 1200 долларов. Организаторы аукциона планировали выручить за снимки не более трех тысяч долларов. Кто стал обладателем лота, не уточняется. На торгах, помимо рентгеновских снимков, были также представлены и другие вещи, принадлежавшие Монро. Среди них - нераспечатанный флакон духов Chanel №5, кушетка, стоявшая в кабинете личного психотерапевта Монро, деревянные лыжи с инициалами "ММ". Также на аукционе было выставлено кресло, обитое зеленным бархатом. Сидя на нем, актриса позировала во время своей последней фотосессии для журнала Life незадолго до смерти в 1962 году. Напомним, что в середине этого месяца на торгах было куплено розовое платье, в котором Монро снималась в картине "Джентльмены предпочитают блондинок". Именно в нем она исполнила песню "Лучшие друзья девушки - бриллианты". Новый обладатель наряда заплатил за него 312 тысяч долларов.


Рентгеновские снимки грудной клетки знаменитой актрисы Мэрилин Монро ушли с молотка за 45 тысяч долларов, сообщает РИА Новости. Лот был представлен на продажу аукционным домом Julien's. Торги прошли с 26 по 27 июня в казино "Планета Голливуд" в Лас-Вегасе. Флюорография была сделана Монро в ноябре 1954 года, когда актриса была госпитализирована в больницу Cedars of Lebanon Hospital во Флориде с диагнозом эндометриоз. Снимки долгое время служили учебным пособием для студентов медицинского университета. Начальная стоимость флюорографии составила более 1200 долларов. Организаторы аукциона планировали выручить за снимки не более трех тысяч долларов. Кто стал обладателем лота, не уточняется. На торгах, помимо рентгеновских снимков, были также представлены и другие вещи, принадлежавшие Монро. Среди них - нераспечатанный флакон духов Chanel №5, кушетка, стоявшая в кабинете личного психотерапевта Монро, деревянные лыжи с инициалами "ММ". Также на аукционе было выставлено кресло, обитое зеленным бархатом. Сидя на нем, актриса позировала во время своей последней фотосессии для журнала Life незадолго до смерти в 1962 году. Напомним, что в середине этого месяца на торгах было куплено розовое платье, в котором Монро снималась в картине "Джентльмены предпочитают блондинок". Именно в нем она исполнила песню "Лучшие друзья девушки - бриллианты". Новый обладатель наряда заплатил за него 312 тысяч долларов.
Tengrinews
Читайте также

Курс валют

 468.29   549.25   6.22 

 

Погода

Алматы
А
Алматы 20
Астана 18
Актау 12
Актобе 11
Атырау 11
Б
Балхаш 16
Ж
Жезказган 19
К
Караганда 20
Кокшетау 16
Костанай 27
Кызылорда 21
П
Павлодар 15
Петропавловск 21
С
Семей 22
Т
Талдыкорган 23
Тараз 27
Туркестан 8
У
Уральск 20
Усть-Каменогорск 28
Ш
Шымкент 16

 

Редакция Реклама
Социальные сети